Ästhetische Zahnheilkunde
Mehr denn je lässt sich heute feststellen, dass die Menschen bis ins hohe Alter den Wunsch nach einem möglichst perfekten Aussehen haben. Dazu gehört auch die Ästhetik der Zähne.
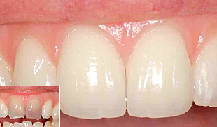
Verfärbte Zähne, unästhetische Füllungen, entstandene Lücken zwischen den Frontzähnen etc. werden oft als störend empfunden. Dank den heutigen Materialien ist es möglich, mit oft geringfügigen Eingriffen dem Patienten den Wunsch nach besserer oder perfekter Ästhetik zu erfüllen.
Zu den gebräuchlichsten Massnahmen zählen:
- Bleichen der Zähne (Bleaching)
- Hochästhetische Füllungen
- Porzellanschalen(Veneers)
- Metallfreie Kronen, keramische Inlays u.v.m
Fragen Sie uns - wir beraten Sie gerne und kompetent.