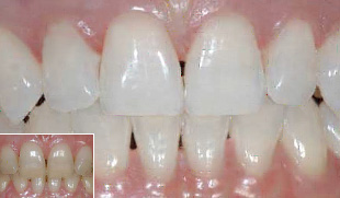
Bleaching (Zahnaufhellung)

Störende Farbpigmente, die sich auf der Oberfläche des Zahnes abgelagert haben und durch Reinigung nicht mehr entfernt werden können, werden durch eine spezielle Behandlung mit aktivem Sauerstoff aufgehellt. Das zahnschonende Verfahren ist schmerzfrei und wird individuell durchgeführt. Das Ergebnis sind schöne, weiße Zähne.