Infiltrieren statt Bohren - Icon®

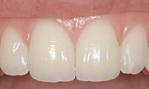
Eine Innovation in aller Munde: Die sogenannte Kariesinfiltration bietet seit Kurzem die Möglichkeit, beginnende Karies ohne schmerzhaftes Bohren zu stoppen. Basis der Behandlungsmethode, die von Forschern der Charité Berlin entwickelt wurde, ist ein spezieller flüssiger Kunststoff, mit dem der krankhafte Zahnschmelz aufgefüllt und verschlossen wird.
Insbesondere nach abgeschlossener kieferorthopädischer Behandlung weisen Zähne sehr häufig initiale Karies in Form von Demineralisationen auf die mit dieser Methode vollständig rückgängig gemacht werden können.